Bel Fıtığı - Boyun Fıtığı - Omurilik Kanalı Darlığı - Omurga Travma ve Kırıkları.

0216 339 73 53

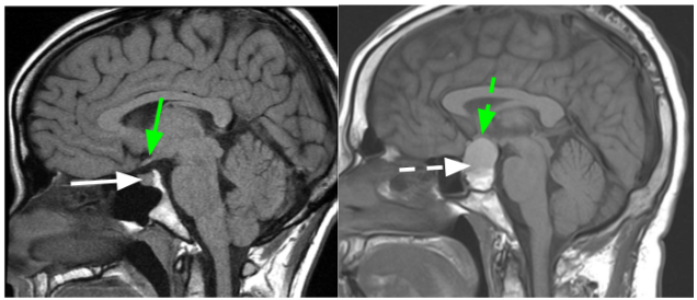
Hipofiz Adenomları

Hipofiz adenomu, hipofiz bezinde oluşan bir tümördür. Bu tümör, hipofizin ön bölgesinde yer aldığından endokrin sistemin düzenlenmesinde önemli bir rol oynar. Hipofiz adenomları genellikle iyi huylu olup, çoğu zaman belirti vermezler. Bununla birlikte, bazı adenomlar büyüyebilir ve komşu dokulara baskı yaparak baş ağrısı, görme değişiklikleri, hormonal dengesizlikler gibi semptomlara neden olabilir.

Hipofiz adenomu tedavisi, tümörün büyüklüğüne, semptomların şiddetine ve hormon düzeylerine bağlı olarak belirlenir. Genellikle, küçük boyutlu ve semptomsuz olan adenomlar izlem altında tutulabilir. Ancak büyüklükleri veya semptomlara neden olmaları durumunda cerrahi müdahale gerekebilir.

Cerrahi tedavi genellikle transsfenoidal cerrahi olarak adlandırılan bir yöntemle gerçekleştirilir. Bu prosedürde, burun yoluyla sinüs boşluklarına ulaşılır ve tümör çıkarılır. Cerrahi müdahale sonrasında, hastanın hormonal düzenlemeyi sürdürebilmesi için bazen hipofiz hormonlarını takviye etmek gerekebilir.

Bazı durumlarda, hipofiz adenomlarının tedavisi için ilaçlar kullanılır. İlaçlar, tümör büyümesini kontrol altına alabilir ve semptomları hafifletebilir. Radyoterapi ise genellikle cerrahi veya ilaç tedavilerine yanıt vermeyen veya mümkün olmayan vakalarda düşünülür.

Sonuç olarak, hipofiz adenomu tedavisi, tümör büyüklüğü, semptomlar ve hormonal düzeylere bağlı olarak değişir. İzlem, cerrahi müdahale ve ilaç tedavisi gibi farklı yöntemler uygulanabilir. Hastaların tedavi planını belirlemek için doktorlarıyla görüşmeleri ve takip etmeleri önemlidir.

WhatsApp RA(CTA)